Затлъстяването, захарният диабет и артериалната хипертония се разглеждат като основни рискови фактори за развитие на хроничнo бъбречнo заболяванe. Всеки от тези здравословни проблеми поотделно има сериозни последици за бъбреците, но тяхната комбинация значително увеличава риска от бъбречна недостатъчност. Заедно те са известни като "тихият убиец на бъбреците", тъй като водят до постепеннo, често незабележимo увреждане на бъбречната функция, което може да доведе до бъбречна недостатъчност.
Затлъстяване - Първоначалният предвестник
Затлъстяването на пръв поглед може да изглежда само естетически проблем, но то има и сериозни физиологични последици. Затлъстяването увеличава натоварването върху бъбреците, които трябва да филтрират повече токсини. Проучвания показват, че затлъстяването увеличава риска от развитие и ускорява прогресията на хронично бъбречно заболяване, особено при пациенти, които страдат от диабет и/или високо кръвно налягане.
Захарен диабет - Погубващото въздействие върху бъбреците
Продължителното високо ниво на кръвна захар уврежда малките кръвоносни съдове, включително тези в бъбреците, като това нарушава тяхната функция и води до развитието на едни от най-честите бъбречни усложнения - диабетна нефропатия и хронично бъбречно заболяване, което от своя страна може да прогресира до бъбречна недостатъчност, изискваща диализа или трансплантация на бъбрек.
Артериална хипертония - Тихият убиец на бъбреците
Артериалната хипертония, или високо кръвно налягане, е една от най-разпространените сърдечно-съдови болести. Постоянно повишеното кръвно налягане води до увреждане на бъбречните съдове и функцията на бъбреците. Това създава условия за развитие на хронично бъбречно заболяване. Високото кръвно налягане увеличава риска от развитие на бъбречна недостатъчност при пациенти със захарен диабет и затлъстяване.
Връзката между затлъстяване, диабет и хипертония
Затлъстяването, диабетът и артериалната хипертония често съществуват едновременно при много пациенти. Затлъстяването може да влоши контрола върху кръвната захар и кръвното налягане, а високите нива на глюкоза и кръвно налягане водят до допълнителни увреждания на бъбречните структури, които обикновено се проявяват с микроалбуминурия (малки количества белтък в урината) и прогресират до по-сериозни състояния, като повишен серумен креатинин, урея, пикочна киселина и развитие на хронична бъбречна недостатъчност.
Профилактика и лечение
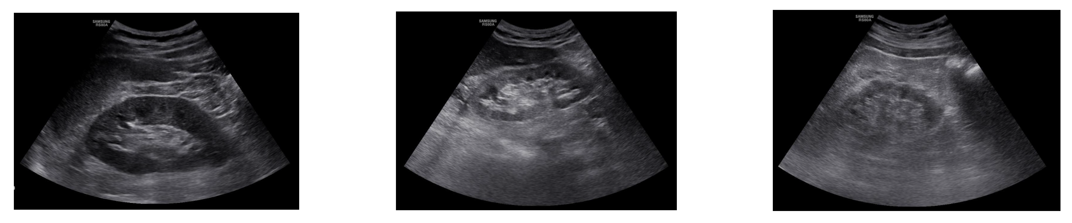
Пациентите със затлъстяване, захарен диабет и артериална хипертония трябва да се консултират с нефролог, защото тези заболявания са основни рискови фактори за развитие на хронично бъбречно заболяване и прогресия до бъбречна недостатъчност (фиг.1)

Фиг. 1. Ехографски образ на бъбрека. А – Нормален ехографски образ на бъбрека. Б – при лека и умерена степен на хронично бъбречно заболяване. В – при бъбречна недостатъчност.
Нефрологът е специалист, който може да диагностицира, следи и лекува бъбречни прояви при хронично бъбречно заболяване в ранни стадии, което е решаващо за предотвратяването на сериозни бъбречни и сърдечно – съдови усложнения.
Ето защо е толкова важно тези пациенти да се консултират с нефролог:
1. Ранна диагностика на бъбречни увреждания
Затлъстяването, диабетът и хипертонията често водят до хронично бъбречно заболяване, но симптомите в ранните стадии могат да бъдат незначителни или почти незабележими. Нефрологът може да открие тези отклонения още в началото и да започне лечение, което да забави или предотврати прогресията към по-сериозни прояви на бъбречна недостатъчност.
2. Проследяване на бъбречната функция
Нефрологът изследва бъбречната функция чрез специфични тестове. Редовното проследяване е критичен за ранното откритие на бъбречни проблеми и своевременното им лечение.
3. Персонализирано лечение
Нефрологът може да създаде персонализиран план за лечение за поддържане на бъбречната функция при пациентите със затлъстяване, захарен диабет и високо кръвно налягане.
4. Превенция на прогресията на хронично бъбречно заболяване към бъбречна недостатъчност
Нефрологът може да започне терапии, които да забавят или дори в някой случай да спрат развитието на това заболяване.
Пациентите с хронично бъбречно заболяване имат значително повишен риск от развитие на усложнения като сърдечно-съдови инциденти - инфаркт на миокарда, инсулт и сърдечна недостатъчност. Нефрологът е ключов специалист за забавяне прогресията на хронично бъбречно заболяване чрез ранна диагностика, проследяване, персонализирано лечение, като по този начин намалява риска от усложненията.
За преглед и консултация:
Запиши час при д-р Асен Каменов, дм - нефролог













